Home Steve's Brain Tumor Story Discovery and surgery slideshow
 
 
  
Click on a photo for a larger version
Discovery and surgery has 49 photos (109.6 MBytes)
>>
Random Page
Tags

Recovery and new paths
Aftermath and turmoil
Discovery and surgery
One strange summer
The before times
< One strange summer    
    Aftermath and turmoil >

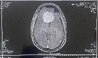
On October 16, 2023, I got the results of an MRI that showed a large mass consistent with a meningioma, a type of tumor of the meninges, which is the tissue separating the skull and the brain.

Meningiomas are "benign" in that they aren't usually cancerous, but they are far from being non-impactful to the lives of people who experience them and the people around them. After a few visits with different doctors, I was very lucky to get a referral to a neurosurgeon in Houston who specialized in meningiomas, and he agreed to take me as a patient. Surgery was scheduled for November 9. It was quite a whirlwind between the third brain fog incident on October 2, my visit to my primary doctor on October 6, the MRI on October 16, and then the surgery on November 9.

The surgery was successful and the doctor said they were able to remove the whole mass. I noticed pretty quickly that my executive function (I sometimes call it my 'give a shit-ness') returned. I also noticed that I was feeling emotions on a deeper level than I had in years. I frequently describe it like coming out of a smoky room - you might not notice how bad it was in there until you come out into the fresh air. Suddenly I was crying at sad songs, laughing at funny stories, and feeling things I hadn't felt in years.

MRI, top view

MRI, top view

Another MRI top view

Another MRI top view

MRI, front and side views

MRI, front and side views

Another clear top view

Another clear top view

more MRI

more MRI

Before and after getting my head shaved. They said I didn't need to, but I wanted to.

Before and after getting my head shaved. They said I didn't need to, but I wanted to.

Nice dome

Nice dome

In the doctors office

In the doctors office

In Houston, day before surgery

In Houston, day before surgery

Night before surgery

Night before surgery

Dad getting his head shaved in support

Dad getting his head shaved in support

He looks pretty good shaved!

He looks pretty good shaved!

Surgery day, probably waiting for it to end. 9.5 hours!

Surgery day, probably waiting for it to end. 9.5 hours!

Day after surgery. Big black eye!

Day after surgery. Big black eye!

The day after still - lots of wires and stuff still connected

The day after still - lots of wires and stuff still connected

Two days after, bandages off

Two days after, bandages off

Bandages off, showing the incision

Bandages off, showing the incision

Getting a visit from dad, two days after

Getting a visit from dad, two days after

Steve and dad

Steve and dad

Big hug!

Big hug!

That short hair feels funny!

That short hair feels funny!

Black eye starting to heal up. Still two days post-op.

Black eye starting to heal up. Still two days post-op.

Looking pretty good. Three days post op.

Looking pretty good. Three days post op.

Nice. Three days post op, zero out of 10 pain.

Nice. Three days post op, zero out of 10 pain.

Going home! Three days post op.

Going home! Three days post op.

Four days post op, at home. The patch is to force me to use my 'bad' eye.

Four days post op, at home. The patch is to force me to use my 'bad' eye.

Recovering nicely

Recovering nicely

T +5 days

T +5 days

One week later

One week later

One week later

One week later

Hair showing some stubble

Hair showing some stubble

Incision healing nicely

Incision healing nicely

I think these are the bruises where they put the IV lines in my leg.

I think these are the bruises where they put the IV lines in my leg.

Ten days worth of healing

Ten days worth of healing

Looking good

Looking good

A button Mom had made for me. I seemed to like telling people my story even very early.

A button Mom had made for me. I seemed to like telling people my story even very early.

November 23 - Thanksgiving

November 23 - Thanksgiving

Healing continues

Healing continues

Eye looking much better. November 25, 16 days post op.

Eye looking much better. November 25, 16 days post op.

November 25

November 25

Looking good!

Looking good!

Scar nearly invisible.

Scar nearly invisible.

December 8

December 8

December 8

December 8

December 9, one month later

December 9, one month later

December 9

December 9

A 3D print at 1:1 scale of my tumor, extracted from my MRI.

A 3D print at 1:1 scale of my tumor, extracted from my MRI.

What an actual meningioma looks like

What an actual meningioma looks like

A few more replicas

A few more replicas

< One strange summer
Aftermath and turmoil >

All images copyrighted ©, all rights reserved. Do not use without permission.