Select a link below to see thumbnails, or click the photos for a larger version
Steve's Photos has 52 pictures in 2 pages. (123.6 MBytes) 
Latest Additions!
Thursday January 8 2026 10:29 AM
Initial discovery and diagnosis

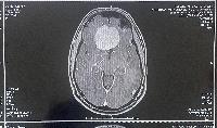
MRI, top view  (20231020-105517.jpg)

MRI, top view

Another MRI top view  (20231020-105521.jpg)

Another MRI top view

MRI, front and side views  (20231020-113456.jpg)

MRI, front and side views

Another clear top view  (20231020-113459.jpg)

Another clear top view

more MRI  (20231020-113459a.jpg)

more MRI

Before and after getting my head shaved. They said I didn't need to, but I wanted to.  (20231107-112722.jpg)

Before and after getting my head shaved. They said I didn't need to, but I wanted to.

Nice dome  (20231107-124031.jpg)

Nice dome

In the doctors office  (20231108-164907.jpg)

In the doctors office

In Houston, day before surgery (20231108-175505.jpg)

In Houston, day before surgery

Night before surgery  (20231108-175506.jpg)

Night before surgery

Dad getting his head shaved in support  (20231108-210052.jpg)

Dad getting his head shaved in support

He looks pretty good shaved! (20231108-210058.jpg)

He looks pretty good shaved!

Surgery day, probably waiting for it to end. 9.5 hours!  (20231109-140512.jpg)

Surgery day, probably waiting for it to end. 9.5 hours!

Day after surgery. Big black eye!  (20231110-144229.jpg)

Day after surgery. Big black eye!

The day after still - lots of wires and stuff still connected (20231110-183437.jpg)

The day after still - lots of wires and stuff still connected

Two days after, bandages off (20231111-064635.jpg)

Two days after, bandages off

Bandages off, showing the incision  (20231111-100753.jpg)

Bandages off, showing the incision

Getting a visit from dad, two days after (20231111-162059.jpg)

Getting a visit from dad, two days after

Steve and dad  (20231111-163035.jpg)

Steve and dad

Big hug!  (20231111-163053.jpg)

Big hug!

That short hair feels funny!  (20231111-163059.jpg)

That short hair feels funny!

Black eye starting to heal up. Still two days post-op.  (20231111-194532.jpg)

Black eye starting to heal up. Still two days post-op.

Looking pretty good. Three days post op.  (20231112-072133.jpg)

Looking pretty good. Three days post op.

Nice. Three days post op, zero out of 10 pain.  (20231112-074101.jpg)

Nice. Three days post op, zero out of 10 pain.

Going home! Three days post op. (20231112-120411.jpg)

Going home! Three days post op.

Four days post op, at home. The patch is to force me to use my 'bad' eye. (20231113-120342.jpg)

Four days post op, at home. The patch is to force me to use my 'bad' eye.

Recovering nicely (20231114-103844.jpg)

Recovering nicely

T +5 days  (20231114-103854.jpg)

T +5 days

One week later (20231116-081050.jpg)

One week later

One week later  (20231116-081058.jpg)

One week later

Hair showing some stubble  (20231118-140926.jpg)

Hair showing some stubble

Incision healing nicely  (20231118-140931.jpg)

Incision healing nicely

I think these are the bruises where they put the IV lines in my leg.  (20231119-072548.jpg)

I think these are the bruises where they put the IV lines in my leg.

Ten days worth of healing  (20231119-083123.jpg)

Ten days worth of healing

Looking good  (20231119-083129.jpg)

Looking good

A button Mom had made for me. I seemed to like telling people my story even very early.  (20231121-165243.jpg)

A button Mom had made for me. I seemed to like telling people my story even very early.

November 23 - Thanksgiving  (20231123-095836.jpg)

November 23 - Thanksgiving

Healing continues  (20231125-040207.jpg)

Healing continues

Eye looking much better. November 25, 16 days post op. (20231125-040214.jpg)

Eye looking much better. November 25, 16 days post op.

November 25  (20231125-040219.jpg)

November 25

Looking good!  (20231129-062914.jpg)

Looking good!

Scar nearly invisible.  (20231129-062919.jpg)

Scar nearly invisible.

December 8  (20231208-090421.jpg)

December 8

December 8  (20231208-090424.jpg)

December 8

December 9, one month later  (20231209-140719.jpg)

December 9, one month later

December 9  (20231209-140757.jpg)

December 9

A 3D print at 1:1 scale of my tumor, extracted from my MRI.  (20231217-184949.jpg)

A 3D print at 1:1 scale of my tumor, extracted from my MRI.

What an actual meningioma looks like  (20240421-194840.jpg)

What an actual meningioma looks like

A few more replicas (20240925-092329.jpg)

A few more replicas